 |
|
Home
| About Us | Donate or Volunteer | Contact Us |
Beautiful Teeth |
Below are some
before and after photos As you can see our Dentists do
very nice work! |
|
|
|
 |
|
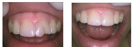
Here a
crown was avoided with new-age materials. |
|
 |
|
On the
left is the amalgam. On the right "good as new". |
|
 |
|
Again,
from ugly to beautiful. |
|
Notice the blue rubber dam in the
lower two pictures. The use of the rubber dam is
critical when amalgams are being replaced. We will be happy to answer any
questions you may have.
Our services are provided at our Clinic in San Pedro Garza Garcia (Monterrey, Mexico).
If you need further information or are planning to visit us for arthritis or dental implants
please get in touch via email with your name, telephone number and a good time to call.
Usually we can get back to you in 24 hours or less.
Our telephone network covers most major cities in the world, so the call is on us.
Click Here to send us your email |
|
|
IMAGINE LIVING AGAIN WITHOUT PAIN AND SUFFERING YOU can take charge of your health care. Knowledge is power! |
|
We invite you to read through our website. We think you'll be glad you did. |
|
Our Doctors and
Dentists use cutting-edge treatments to cure this terrible disease. |
|
Learn facts about your
arthritis that you may never have been aware of before. |
|